Dental Implants
Dental Implants in Osborne Park

Dental Implants in Osborne Park

Restore Your Smile with Confidence

Dental Implants in Osborne Park

Missing teeth can affect your ability to eat, speak, and smile with ease — but it doesn’t have to stay that way. At Dental Lounge @ Osborne Park, we offer dental implants as a long-lasting, natural-looking solution to restore both function and aesthetics to your smile.

If you’re considering dental implants in Osborne Park, our experienced team is here to guide you through the process with care and clarity.

Book a consultation today to explore your options.

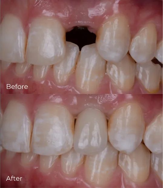
See the Results

Before & After Dental Implant Gallery

All images and videos are shared with patient consent and are for general informational purposes only. Results, risks, and recovery times vary for each individual and should not be considered medical advice.

Why Choose Dental Implants?

Dental implants are one of the most advanced and reliable solutions for tooth replacement. Unlike dentures or bridges, implants are surgically placed into the jawbone, where they integrate to form a strong, stable foundation for your new teeth.

Benefits of Dental Implants:

Custom-designed to blend with your natural teeth in both appearance and function.

No need to alter adjacent teeth, unlike with traditional bridges.

Securely anchored into the jawbone — no slipping or shifting.

With proper care, implants can last for decades, making them a long-term investment in your oral health.

If you’re considering dental implants in Osborne Park, we invite you to schedule a consultation with our experienced team to explore how this treatment can benefit you.

Implant Dentistry Led by Dr Nishant Vaishnav

Dental Implant Care, Led By Dr Nishant​ Vaishnav

Dr Nishant Vaishnav( DEN0001309139), Principal General Dentist at Dental Lounge @ Osborne Park, brings over two decades of experience in dental implants. He holds a Master of Dental Surgery (MDS) and is a Fellow of the International Congress of Oral Implantologists (FICOI).

Dr Vaishnav has successfully treated a wide range of cases, including:

He uses advanced techniques such as bone grafting and 3D-guided implant surgery to provide solutions where others may not. If you’ve been told you’re not a candidate for implants, a second opinion with Dr Vaishnav could open new possibilities.

Dental Implant Care, Led By Dr Nishant​ Vaishnav

The Dental Implant Process

Every implant journey begins with a comprehensive consultation. We take time to understand your goals, assess your oral health, and use the latest diagnostic tools including digital X-rays, OPG imaging, and CBCT scans  to determine your suitability.

Here’s what to expect:

Dental Implant Costs Dental Lounge @ Osborne Park

Dental Implant Costs

Dental Implant Costs Dental Lounge @ Osborne Park

We understand that cost is an important consideration. The price of dental implants depends on:

During your consultation, we’ll provide a clear, personalised treatment plan with a detailed cost breakdown. Flexible payment options are available to make your treatment more accessible.

Advanced Technology for Exceptional Results

Dr. Nishant Vaishnav-Family Dentist in Osborne Park

We’ve invested in state-of-the-art equipment to ensure your care is both precise and efficient. Our in-house CBCT scanner captures detailed 3D images of your teeth, bone, and surrounding structures — allowing for safer, more accurate implant planning.

This technology also means you won’t need to visit external imaging centres, streamlining your treatment in one convenient location.

Why Woodlands Families Choose Dental Lounge @ Osborne Park

At Dental Lounge @ Osborne Park, our focus is on supporting long-term oral health for patients from Woodlands and surrounding areas. Using advanced diagnostics such as digital X-rays, intraoral scanning, and computer-assisted treatment planning, our team delivers personalised care.

Every treatment is designed to maintain proper chewing, speaking, and overall oral function.

Our Dental Services Include:

dental lounge logo

Experience the Difference

Dental implants are more than just a cosmetic solution – they’re a long-term investment in your health, confidence, and quality of life.

At Dental Lounge @ Osborne Park, you’ll benefit from:

Whether you need a single implant or a full-mouth restoration, we’re here to help you achieve a lasting, natural-looking result.

Book Your Dental Implant Consultation Today.